下眼瞼クマ取り手術(経結膜脱脂手術)
40代・女性 形成外科・美容外科
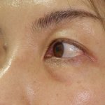
Before

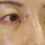
After

- 悩み
- 目の下のクマが目立つ
- 治療内容
- 皮膚を切らずに、下眼瞼の結膜(あかんべーで見える部分)を切開し、クマの膨らみの原因である眼窩脂肪を切除しました。目に見えるキズアトもなく、クマが目立たなくなりました。
- 治療の流れ
1.診察
クマの状態を確認し、適した手術、施術をご説明します。手術の日程を予定します。2.術前説明
手術の約2週間前に術前説明、術前診察を行います。疑問点があれば、何でも質問してください。
3.手術
手術は1時間弱で終了します。4.次回施術予約
翌日あるいは翌々日に再診し、トラブルがないことを確認します。その後は1週間後、1か月後で術後検診を行います。
- 治療後の変化
クマが目立ちにくくなり、疲れた印象が改善しました。
- 施術の価格
初診料 935円
自費手術基本料金(同意書作成時)2200円
手術料金 両側下眼瞼 220,000円
その他 内服薬、点眼薬等 3000円程度
- 施術の副作用
- 血腫、皮下出血、眼科内血腫
- 創感染
- 外眼筋損傷による複視(物が二重に見える)
- 涙小管損傷による涙目
- 下眼瞼後退、三白眼、下眼瞼外反
- 下眼瞼皮膚への穿孔によるきずあと
- 眼球損傷 など
- 注意事項
掲載しているすべての症例写真については、臨床画像の使用に関して事前に依頼・説明を行い、ホームページでの公開について書面での同意をいただいております。













