下眼瞼 老人性内反症(老人性の逆さまつげ)
50代・女性 眼瞼形成・二重形成
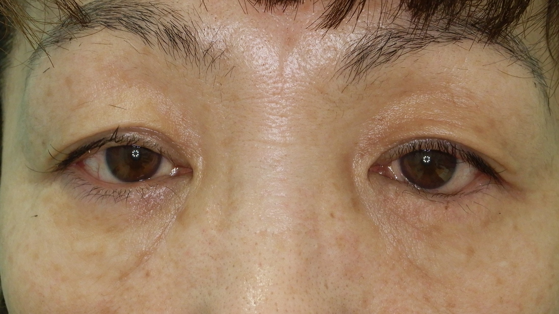
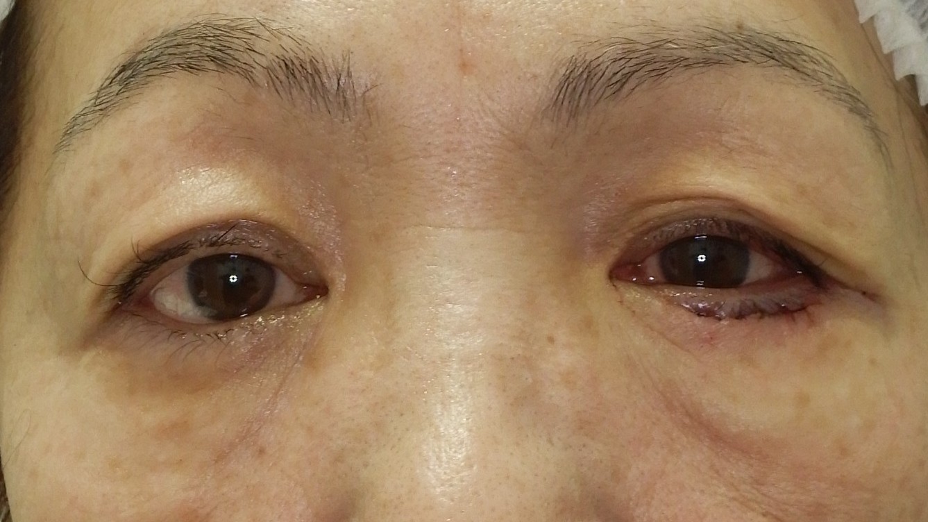
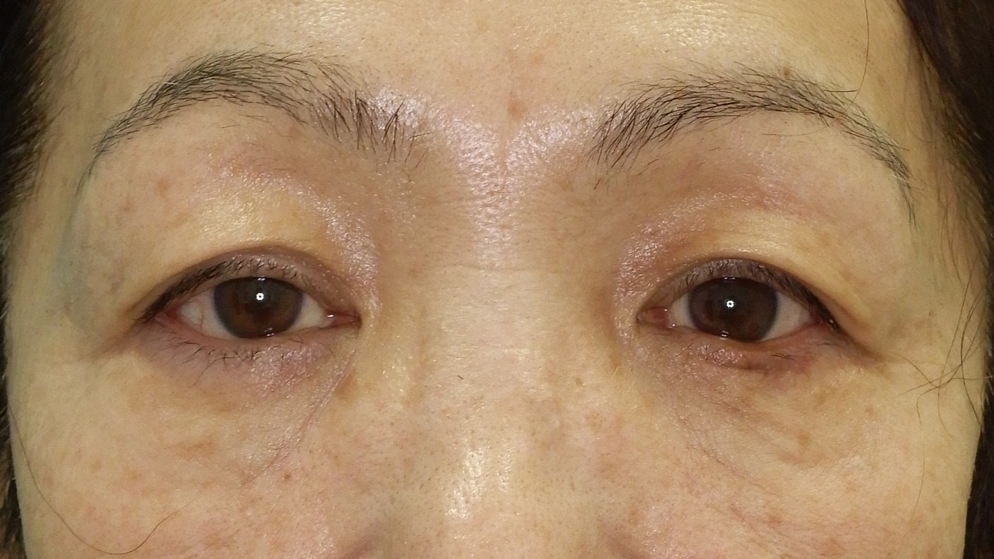
Before

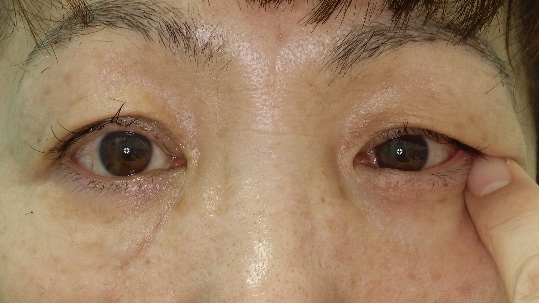
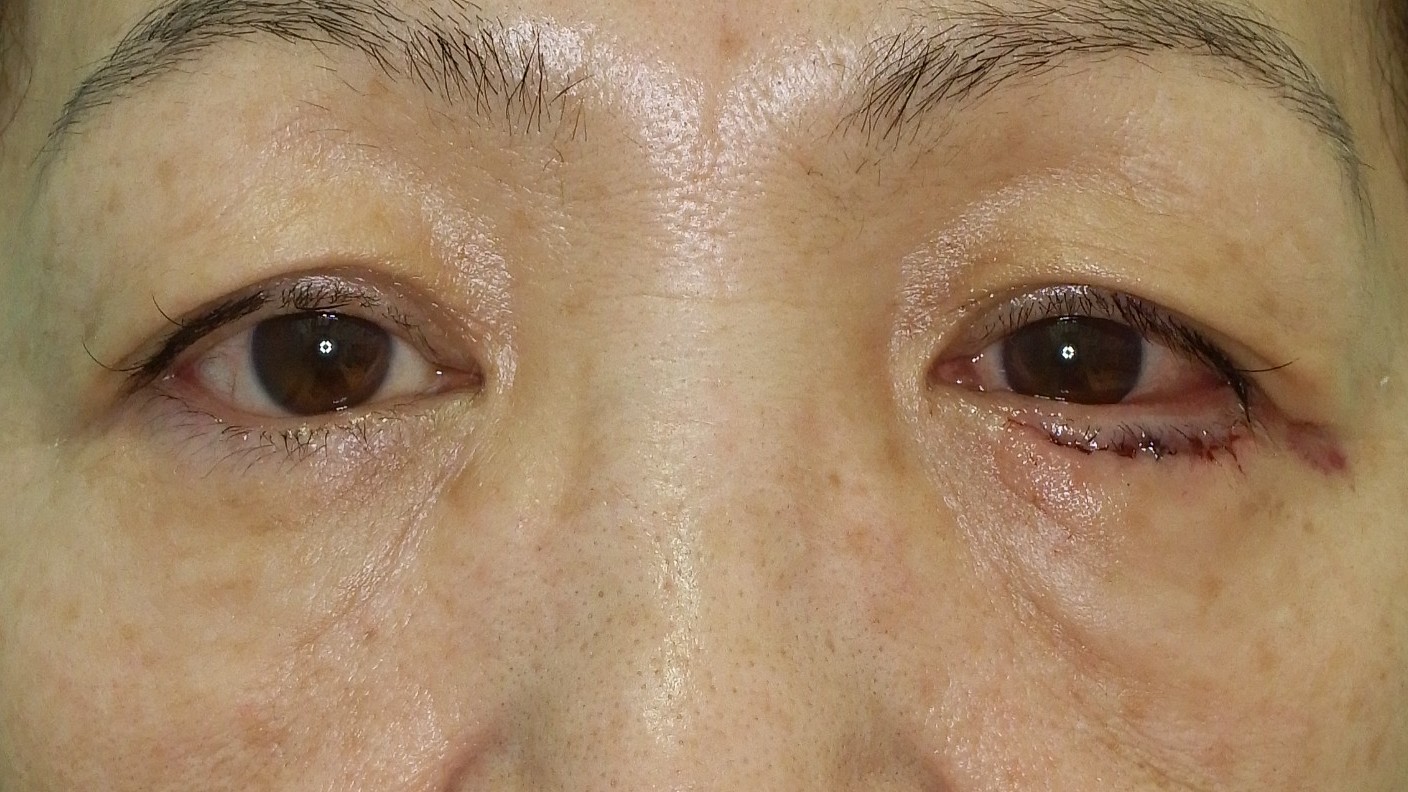
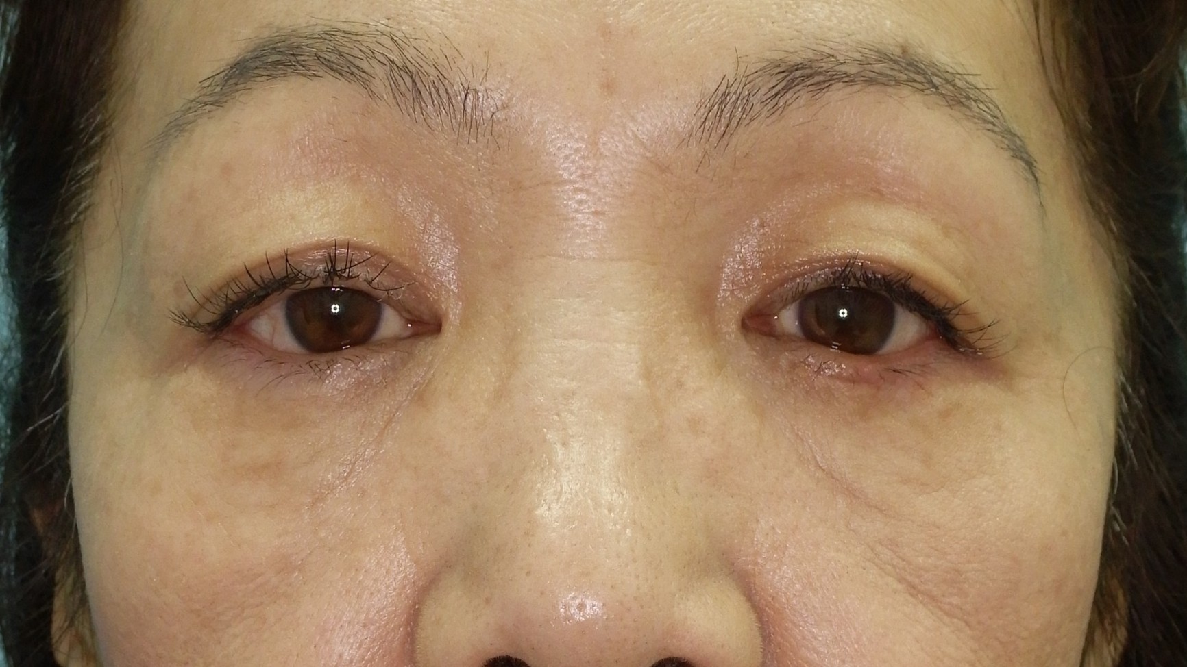
After

- 悩み
- 左下まぶたがまばたきのたびに内側に折れ返り、まつげが眼球に当たって痛い。目やにも多い。
- 治療内容
- 加齢による下瞼の内反症です。下瞼の皮膚や靱帯が年齢とともに緩んでくることにより、下瞼が内反してしまい、眼球に刺さる症状が出ます。ご自身で下瞼を牽引すれば戻るのですが、瞼を閉じるたびに下眼瞼が内転します。1年前に他院で下眼瞼の皮膚切除を行われたとのことでしたが、症状が再発してしまったと、受診されました。 下眼瞼を下方に牽引する筋肉を瞼板から剥離して、下眼瞼外側を吊り上げる手術を行います。
- 治療の流れ
1.診察
下眼瞼の内反、ゆるみの程度を診察します。必要に応じ眼科に紹介し、眼球の状態を評価していただきます。眼科の先生から御紹介を頂く場合もあります。2.手術
片側で1時間程度の日帰り手術です。局所麻酔注射を行いますので痛みはわずかです。3.アフターケア
手術翌日に再診していただき、トラブルがないことを確認します。術後1週間程度で抜糸になります。その後は1-2か月ごとに通院していただき、術後半年までは経過観察が必要です(再発する場合があります)
- 治療後の変化
術後のきずあとはほぼ目立たず、見た目の左右差が改善しました。まつげは目に当たらなくなり、ゴロゴロ感や涙目も解消しています。ものを見やすくなり、目の煩わしさが無くなったため、はつらつと過ごすことが出来るようになりました。
- 手術の費用
健康保険適用の手術になります。
眼瞼内反症手術(眼瞼下制筋前転法)(片側) 3割負担で12690円+諸費用(処方薬、診察料等)
- 手術の副作用
- 出血、皮下出血、眼窩内血腫
- 創部感染、結膜炎
- 眼球損傷、角膜障害 等 術前に詳しくご説明します
- 注意事項
掲載しているすべての症例写真については、臨床画像の使用に関して事前に依頼・説明を行い、ホームページでの公開について書面での同意をいただいております。

















